Full Treatment Gallery -
Before & After

We may not all start out with perfectly aligned teeth, but the doctors at PDG know how to turn overbites, underbites and openbites into beautiful healthy smiles.

Request a Free Consultation Today!

Full Treatment Cases

View our “before” and “after” orthodontic treatment photos below to see how we’ve helped many of our young patients enter adulthood with confidence in their appearance. All cases are treated by the orthodontists at PDG. See Early Treatment Cases for more.

Full Treatment Cases

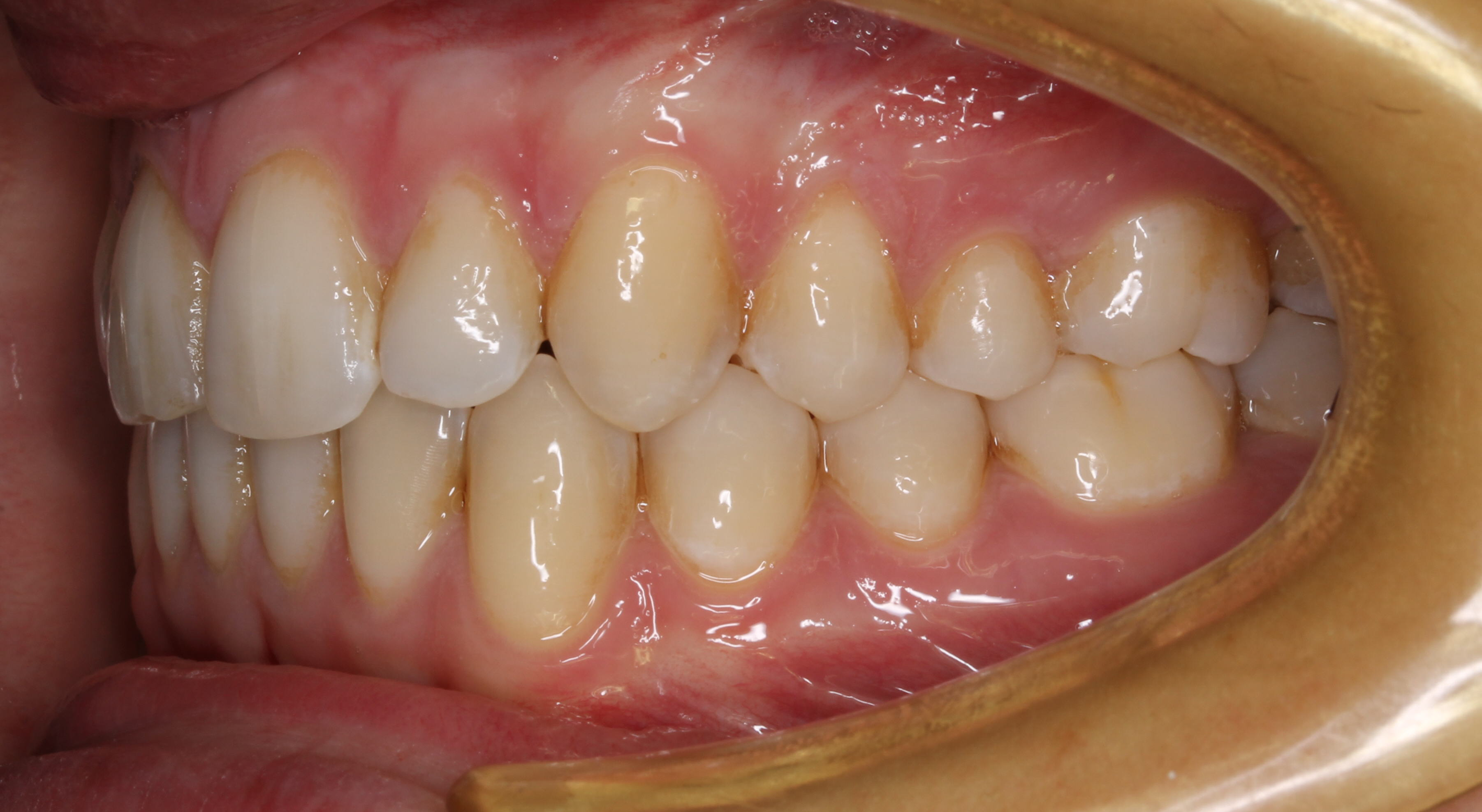
Crowding

A case treated by the extraction of four teeth and then full upper and lower braces with elastics.

Crowding-01b-Before Crowding-02b-After
Crowding-01c-Before Crowding-02c-After
Crowding-01d-Before Crowding-02d-After
Crowding-01e-Before Crowding-02e-After

Full Treatment Cases

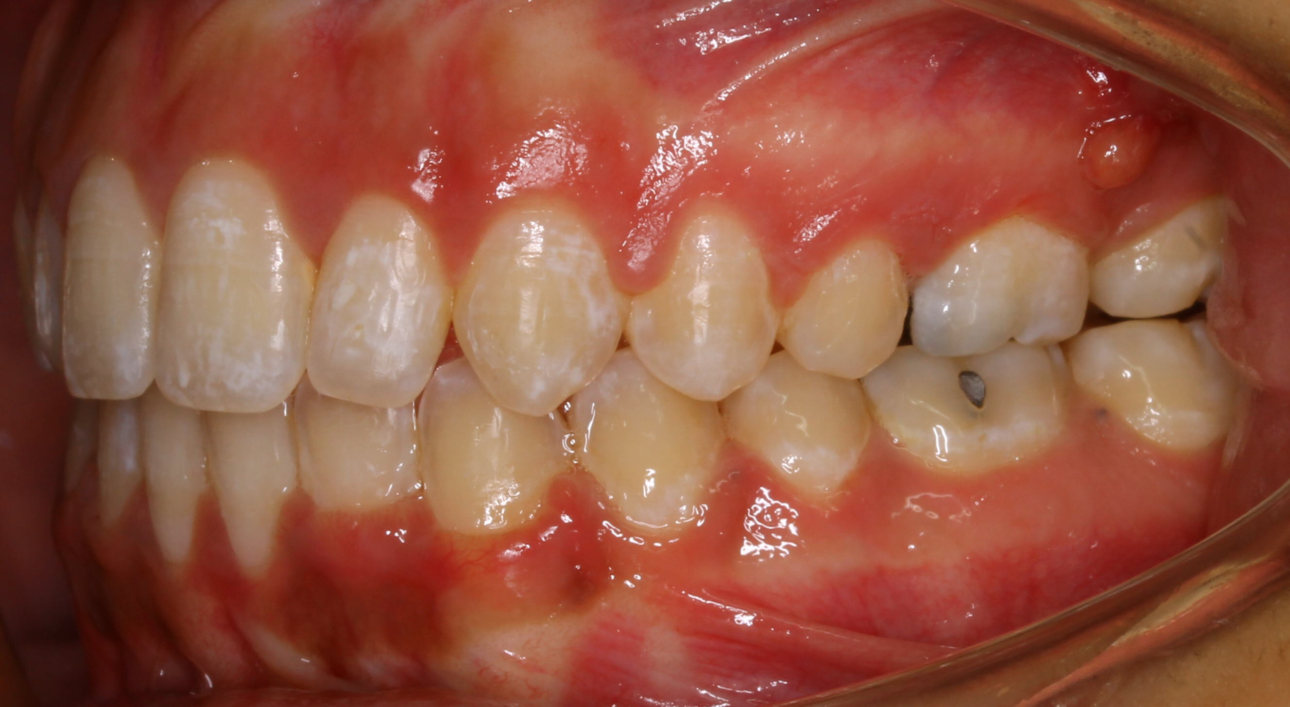
Misplaced Teeth

A case treated with upper and lower braces and elastics.

Misplaced-Teeth-01b-Before Misplaced-Teeth-02b-After
Misplaced-Teeth-01c-Before Misplaced-Teeth-02c-After
Misplaced-Teeth-01d-Before Misplaced-Teeth-02d-After
Misplaced-Teeth-01e-Before Misplaced-Teeth-02e-After

Full Treatment Cases

Spacing

A case treated with full upper and lower braces with elastics.

Spacing-01a-Before Spacing-02a-After
Spacing-01c-Before Spacing-02c-After
Spacing-01d-Before Spacing-02d-After
Spacing-01e-Before Spacing-02e-After

Full Treatment Cases

Overbite and Overjet

A case treated with two phases of treatment. The initial phase used a twin block appliance to move the lower teeth forward. Subsequently, four teeth were extracted and full braces, headgear, and elastics were used.

Overbite-and-Overjet-01b-Before Overbite-and-Overjet-02b-After
Overbite-and-Overjet-01c-Before Overbite-and-Overjet-02c-After
Overbite-and-Overjet-01d-Before Overbite-and-Overjet-02d-After
Overbite-and-Overjet-01e-Before Overbite-and-Overjet-02e-After

Full Treatment Cases

Negative Overjet and Crossbite

A case treated with upper and lower braces as well as upper and lower jaw surgery.

Crossbite-and-Negative-Overjet-01b-Before Crossbite-and-Negative-Overjet-02b-After
Crossbite-and-Negative-Overjet-01c-Before Crossbite-and-Negative-Overjet-02c-After
Crossbite-and-Negative-Overjet-01d-Before Crossbite-and-Negative-Overjet-02d-After
Crossbite-and-Negative-Overjet-01e-Before Crossbite-and-Negative-Overjet-02e-After

Full Treatment Cases

Openbite

A case treated with full braces, elastics, and temporary anchorage devices.

Openbite-01b-Before Openbite-02b-After
Openbite-01c-Before Openbite-02c-After
Openbite-01d-Before Openbite-02d-After
Openbite-01e-Before Openbite-02e-After

Full Treatment Cases

Mild Crowding

A case treated with Invisalign aligners.

Invisalign-01b-Before Invisalign-02b-After
Invisalign-01c-Before Invisalign-02c-After
Invisalign-01d-Before Invisalign-02d-After
Invisalign-01e-Before Invisalign-02e-After

Full Treatment Cases

Crowding

A case treated by the extraction of four teeth and then full upper and lower braces with elastics.

Full Treatment Cases

Misplaced Teeth

A case treated with upper and lower braces and elastics.

Full Treatment Cases

Spacing

A case treated with full upper and lower braces with elastics.

Full Treatment Cases

Overbite and Overjet

A case treated with two phases of treatment. The initial phase used a twin block appliance to move the lower teeth forward. Subsequently, four teeth were extracted and full braces, headgear, and elastics were used.

Full Treatment Cases

Negative Overjet and Crossbite

A case treated with upper and lower braces as well as upper and lower jaw surgery.

Full Treatment Cases

Openbite

A case treated with full braces, elastics, and temporary anchorage devices.

Full Treatment Cases

Mild Crowding

A case treated with Invisalign aligners.

Request a Free Consultation

Our Certified Specialists in Orthodontics will help you determine which treatment option is right for you.